胃癌CT诊断及TNM分期,你想知道的都在这里了
胃癌的螺旋CT分期是胃癌术前分期诊断的主要技术,于手术前对胃癌病变的侵犯范围、大小及程度进行较准确的估计,避免盲目手术,提高手术切除率,对胃癌治疗方案的制订有着十分重要的指导意义。
病变部位:30% 位于胃窦,30% 位于胃体,30% 位于胃底、贲门,10% 为弥漫浸润性。
AJCC胃癌TNM分期(第8版)
T——原发肿瘤 Tx:原发肿瘤无法评价; T0:无原发肿瘤的证据; Tis:高度异型增生,局限于上皮内,未侵犯固有层; T1:肿瘤侵及黏膜固有层或黏膜下层 T1a 肿瘤侵及黏膜固有层;T1b 肿瘤侵及黏膜下层; T2:肿瘤侵及固有肌层; T3:肿瘤侵及浆膜下层; T4:T4a 肿瘤侵透浆膜;T4b 肿瘤侵及邻近器官。
N——区域淋巴结 Nx:区域淋巴结不能评价; N0:无区域淋巴结转移; N1:1~2个淋巴结转移; N2:3~6个淋巴结转移; N3:N3a 7~15个淋巴结转移;N3b ≥16个淋巴结转移。
M——远处转移 M0:无远处转移; M1:有远处转移。



T1:低密度的粘膜层保持完整。

T2:胃壁增厚,低密度带中断,外轮廓光滑,周围脂肪层清晰条索影少于1/3。


接下来,小编带大家通过一典型病例来巩固一下胃癌TNM分期。
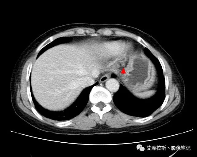
【基本情况】 患者,女性,66岁,贫血。
图1 平扫+增强各期

图2 肿瘤



以下为累及的区域淋巴结,共计15个区域:
















【影像所见】 胃窦部狭窄,胃壁环形增厚,小弯侧见一巨大溃疡,周围伴“环堤征”,浆膜面不完整,胃周脂肪见网格状条索影,病灶与肝脏左叶、胰腺钩突脂肪间隙消失,增强扫描病灶明显强化。引流区内约15个区域淋巴结受累。
【诊断意见】 胃窦部胃癌(T4N3期) 该病例肿块突破浆膜层,与肝脏左叶、胰腺钩突分界不清,脂肪界面消失,定为T4期; 受累及的淋巴结为15个区域,定为N3; 有无远处转移尚不明确,所以M期暂时无法确定。
- 上一篇
胃癌筛查关键标志物——胃泌素17
胃癌 胃内壁的黏膜组织内长着厚厚的一层细胞,叫胃黏膜,这些细胞分泌胃液胃酸来帮助我们消化食物。在正常情况下,这些细胞按照人体的需要生长,保持着一定的数量,不多也不少。但是在一些不良的因素的刺激下,个别细胞变成癌细胞,分裂增殖失控长成恶性肿瘤,就是胃癌。中国胃癌现状1、胃病在我国属于高发病,民间有“十人九胃”之说,但是胃部疾病容易忽略,
- 下一篇
BMC Cancer:幽门螺杆菌能影响晚期胃癌免疫治疗结局?PFS和OS均可相差3倍!
胃癌是全球第五大常见癌症,也是仅次于肺癌和结直肠癌的第三大癌症相关死亡原因。尽管诊断为局限性疾病的胃癌患者生存趋势有所改善,但晚期胃癌(AGC)的预后仍然较差。流行病学数据显示,被诊断为远处疾病的胃癌患者的5年生存率仍低于5%。在过去十年中,免疫检查点抑制剂(ICI)已成为一系列恶性肿瘤的新治疗策略。然而,寻找实用的预后标志物以筛选最合适的人群仍在探索。 越