生命经纬

  • NEJM:KRAS抑制剂Adagrasib联合或不联合西妥昔单抗对结直肠癌的疗效与安全性(KRYSTAL-1研究)

    NEJM:KRAS抑制剂Adagrasib联合或不联合西妥昔单抗对结直肠癌的疗效与安全性(KRYSTAL-1研究)

    在30%~40%的结直肠癌会出现KRAS突变,作为靶向治疗中的“钉子户”一般的存在,近40年来,几乎所有靶向药都在KRAS基因突变的面前纷纷折戟。
    根据医学文献所报道,KRAS是实体瘤中最常见的癌基因之一,大约30%的肿瘤都存在KRAS突变,包括90%的胰腺癌,30%~40%结直肠癌和15%~20%的肺癌。然而,KRAS靶向药却寥寥无

  • Front Oncol:综合网络药理学和实验验证,研究薏苡附子败酱散抗结直肠癌的机制

    Front Oncol:综合网络药理学和实验验证,研究薏苡附子败酱散抗结直肠癌的机制

    背景:结直肠癌(CRC)是一种常见的消化道恶性肿瘤,近年来全球发病率不断上升。薏苡附子败酱散(YYFZBJS)出自《金匮要略》,由薏苡仁、附子和败酱草以30:6:15的比例组成,历来被用于治疗胃肠疾病,且显示出对癌症的积极作用。然而,其抗癌作用的机制需要进一步研究。方法:从公共数据库中获取生物活性化合物、潜在YYFZBJS靶点和CRC相关基因的信息。使用生物

  • NLRP3炎症小体抑制剂RRx-001对晚期结直肠癌延长PFS超过3倍

    NLRP3炎症小体抑制剂RRx-001对晚期结直肠癌延长PFS超过3倍

    EpicentRx宣布其NLRP3抑制剂RRx-001于结直肠癌患者中进行的ROCKET试验数据,发表于Clinical Colorectal Cancer期刊当中。数据显示,与标准疗法相比,RRx-001与伊立替康(irinotecan)组合疗法在晚期结直肠癌患者中,延长超过3倍的无进展生存期(PFS),并具显著改善的安全性。这些患者曾接受过三或四线含有伊

  • 武爱文教授:2022年度结直肠癌治疗进展

    武爱文教授:2022年度结直肠癌治疗进展

    翟建宁1,王晰程2,武爱文1(1.北京大学肿瘤医院暨北京市肿瘤防治研究所 北京大学肿瘤医院 胃肠肿瘤中心三病区 恶性肿瘤发病机制及转化研究教育部重点实验室,北京 100142;2.北京大学肿瘤医院暨北京市肿瘤防治研究所 北京大学肿瘤医院 消化肿瘤内科 恶性肿瘤发病机制及转化研究教育部重点实验室,北京 100142)
    基金项目:国家自然科学基金

  • 转移性结直肠癌仍有多种方案治疗,手术根治5年生存率超60%

    转移性结直肠癌仍有多种方案治疗,手术根治5年生存率超60%

    据统计,肝脏是结直肠癌最主要的转移部位,其次是肺。根据相关临床数据,结直肠癌如果不能及时治疗,最终发生肝转移的概率在50%以上;在确诊为结直肠癌的同时或6个月内,约有25%~30%的患者发生肝转移。

    但是现在医疗技术不断进步,即使是发生了转移,也可以通合理的方案获得长时间的生存期,甚至治愈。
    图源:创客贴

    手术治疗

    根据相关临床数据,结直肠癌发

  • 直肠癌怎么治疗?如何在“保命”的基础上实现“保肛”?

    直肠癌怎么治疗?如何在“保命”的基础上实现“保肛”?

    “我能保住肛门吗?”得了直肠癌的病人,百分之百都会问医生这个问题。

    结直肠癌是我国常见的恶性肿瘤,手术是治疗结直肠癌的主要手段,与结肠癌相比,直肠癌手术具有更大的挑战,尤其是接近肛门或括约肌的低位直肠癌手术,能否保留肛门成为了许多患者面临的难关。
    ▲图源:tamc

    直肠癌手术原则“先保命,再保肛”

  • JHO:再取进展!海军军医大学李兆申团队开发新的模型,可有效筛查中国人群的结直肠癌和早发性结直肠癌

    JHO:再取进展!海军军医大学李兆申团队开发新的模型,可有效筛查中国人群的结直肠癌和早发性结直肠癌

    目前中国结肠镜资源相对有限,尚未建立经过充分验证的风险分层策略。2022年11月4日,海军军医大学李兆申及柏愚共同通讯在Journal of Hematology & Oncology上在线发表题为“FIT-based risk-stratification model effectively screens colorectal neoplas

  • 结直肠癌总体5年生存率高达72.5%!日本如何治疗不同分期的结直肠癌患者?

    结直肠癌总体5年生存率高达72.5%!日本如何治疗不同分期的结直肠癌患者?

    根据国家癌症中心发布的最新数据,结直肠癌是我国癌症新发的第二位,总体5年生存率仅为56.9%[1]。在结直肠癌治疗领域,日本有着丰富的临床经验,超高的生存率数据,总体5年生存率高达72.5%[2]。那么,日本治疗结直肠癌有哪些创新疗法?不同病理分期的结直肠癌应该如何治疗呢?
    ▲结直肠癌5年生存率数据,图源:参考来源[2]

    Ⅰ、Ⅱ、Ⅲ期结直肠癌
    手术治疗

  • 垂死癌细胞的最后一击:释放ATP传递信息,帮助临近癌细胞产生抗药性

    垂死癌细胞的最后一击:释放ATP传递信息,帮助临近癌细胞产生抗药性

    结直肠癌(Colorectal Cancer,CRC)是全世界范围内发病率第三的癌症,每年新增发病人数近200万(仅次于乳腺癌和肺癌),每年导致的死亡人数接近100万(仅次于肺癌)。大约每25个人就有1人会在其一生中患上结直肠癌。

    而在我国,结直肠癌年发病人数仅次于肝癌,2020年新增56万结直肠癌患者。更重要的是,近30年来,50岁以下的年轻人群中结直

  • 超27万人36年随访研究:结直肠癌患者患2型糖尿病风险升高20%,其中这3种群体更易中招!

    超27万人36年随访研究:结直肠癌患者患2型糖尿病风险升高20%,其中这3种群体更易中招!

    结直肠癌(CRC)是美国和全球第四大常见癌症。随着人口增长和老龄化,CRC幸存者的数量不断增加,循证癌症幸存者护理对于改善患者的预后和生活质量至关重要。有限的证据表明,结直肠癌与2型糖尿病(T2D)的风险增加有关。然而,正相关的证据仍然没有定论。因此,本研究的目的是在三个大型队列中前瞻性地检查了患有和没有CRC的个体之间的T2D风险,并进行了一项meta分析

  • Gut:不要吸烟!香港中文大学于君团队发现香烟烟雾可以促进结直肠癌

    Gut:不要吸烟!香港中文大学于君团队发现香烟烟雾可以促进结直肠癌

    吸烟是结直肠癌 (CRC) 的主要危险因素。该研究旨在调查香烟烟雾是否通过改变肠道微生物群和相关代谢物来促进结直肠癌。
    2022年4月6日,香港中文大学于君团队在Gut(IF=32)在线发表题为“Cigarette smoke promotes colorectal cancer through modulation of gut microbi

  • 直肠癌的三维放疗及调强放疗靶区勾画

    直肠癌的三维放疗及调强放疗靶区勾画

    直肠癌是中国常见和高发疾病,好发于 40 岁以上人群。大部分直肠癌是散发病例,也可能源于某些遗传病,但仅约占 5%的病因。在西方国家是常见肿瘤,在中国发病率也逐年升高,其发病率和死亡率均排在前十位。散发性直肠癌的具体病因不明,主要与遗传因素、环境因素和生活方式有密切关系。
    直肠癌的症状在早期通常不明显且无特异性,随着肿瘤进展常见的局部症状包括:大便习惯改变,

  • 图卡替尼加曲妥珠单抗对HER2+ 转移性结直肠癌(mCRC)具有获益

    根据 2 期 MOUNTAINEER 试验 (NCT04262466) 的其他分析,进一步支持早期使用 tucatinib (Tukysa) 联合曲妥珠单抗 (Herceptin) 作为先前治疗过的 HER2 阳性转移性结直肠癌 (mCRC) 患者的最佳治疗策略。 John H. Strickler,医学博士。
    在 2022 年 ESMO 大会上公布的试验队

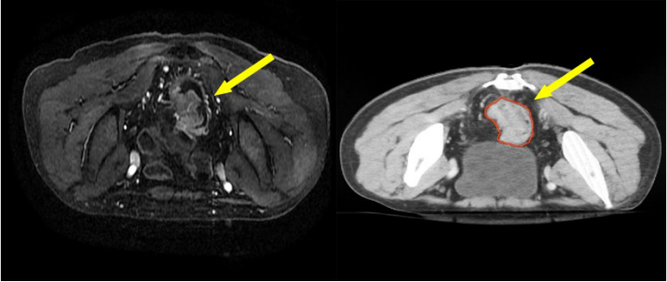
  • European Radiology:可切除结直肠癌患者偶然发现的肾上腺结节究竟该如何处理?

    European Radiology:可切除结直肠癌患者偶然发现的肾上腺结节究竟该如何处理?

    结直肠癌是全球第三大最常诊断的癌症,估计2020年有91.6万人死于此病。对于没有远处转移的患者来说,根治性切除(即手术或内窥镜切除)是首选的治疗方法 。为了对结直肠癌进行分期并随后确定治疗策略,常规进行腹部和盆腔的计算机断层扫描(CT),常在2-4%的病例中偶然发现肾上腺结节。而在分期检查中,这种肾上腺结节的特征对于这类患者来说十分重要。
    虽然没有关于结直

  • European Radiology:基于深度学习的三维超分辨率MRI放射组学模型对直肠癌术前T分期的预测

    European Radiology:基于深度学习的三维超分辨率MRI放射组学模型对直肠癌术前T分期的预测

    目前,结直肠癌在全球肿瘤发病率和死亡谱中分别排名第三和第二。直肠癌(RC)占结直肠癌的1/3,在东亚的发病率最高。尽管根治性手术仍然是唯一的治愈方法,但基于治疗前分期的新辅助化疗(nCRT)的实施提高了R0的切除率,并进一步改善了局部肿瘤的控制。nCRT被推荐为局部晚期RC(LARC)患者(T3/4和/或N+)的标准疗法,而对于早期患者(T1/2和N-)则没

  • Chin Med:黄芪、莪术汤可抑制结直肠癌

    Chin Med:黄芪、莪术汤可抑制结直肠癌

    结直肠癌(CRC)包括结肠癌和直肠癌,是人类最常见的消化道恶性肿瘤。2015年CRC的发病率和死亡率在中国所有恶性肿瘤中排名第五。在我国,中医药联合化疗是结直肠癌综合治疗最重要的方法之一。更重要的是,许多中药表现出潜在的抗癌作用,包括大肠癌。在这些中草药中,已明确黄芪和莪术对多种肿瘤具有抗肿瘤作用,包括肺癌或乳腺癌等。在中国的临床实践中,黄芪或莪术已用于癌症

  • European Radiology:基于CT放射组学特征的结直肠癌无创预测

    European Radiology:基于CT放射组学特征的结直肠癌无创预测

    研究发现,结直肠癌(CRC)可由许多遗传和表观遗传事件同时驱动,其死亡率在全球范围内位居第三。微卫星不稳定性(MSI)是一个主要的致癌因素,定义为短串联重复DNA序列(微卫星)的普遍不稳定性,在大约15%的CRC病例中发生。许多研究已经证实,MSI是诊断林奇综合征的一个重要生物标志物,可用于预测CRC患者的治疗反应和预后。
    现阶段,国家综合癌症网络指南推荐对

  • Gut:暨南大学张冬梅等团队揭示结直肠癌肝转移的分子机制

    Gut:暨南大学张冬梅等团队揭示结直肠癌肝转移的分子机制

    9月7日,暨南大学张冬梅,叶文才,陈敏锋及瑞典卡罗林斯卡医学院曹义海在Gut上发表了一篇题为“Novel TCF21high pericyte subpopulation promotes colorectal cancer metastasis by remodelling perivascular matrix ”的研究论文。该研

  • 粪便筛查异常应尽早做肠镜检查

    粪便筛查异常应尽早做肠镜检查

    结直肠癌是美国成年人第二大癌症相关死亡原因,研究显示癌症筛查可降低结直肠癌相关发生率和死亡率1,2。美国预防服务工作组推荐了几种结直肠癌预防和早期发现的筛查方式,包括粪便免疫学检测和粪便隐血检测2。这两种测试均为无创检测,尤其是在当今新冠全球大流行的状况下,粪便免疫学检测逐渐增多3,4。若无创检查异常还需要进行诊断性结肠镜检查。然而何时进行诊断性结直肠镜检查

  • BMJ:超加工食品、含糖饮料增加男性结直肠癌风险,而酸奶降低女性结直肠癌风险

    BMJ:超加工食品、含糖饮料增加男性结直肠癌风险,而酸奶降低女性结直肠癌风险

    对于许多人来说,预制食品和速食食品的便利性可能会让人很容易忽视其不太理想的营养性,而实际上,除了营养性不佳以外,越来越多的研究显示,这些加工食品还会带来一系列健康风险。
    近日,塔夫茨大学和哈佛大学合作的一项研究显示,超加工食品与结直肠癌风险增加之间存在密切相关性。
    超加工食品(Ultra-Processed Foods)主要是指食品含有的盐、糖、油和脂肪外的

  • 超加工食品增加结直肠风险?对!但又不完全对...美国三大队列超20万人研究告诉你真相!

    超加工食品增加结直肠风险?对!但又不完全对...美国三大队列超20万人研究告诉你真相!

    结直肠癌是美国男性和女性中第三大最常诊断恶性肿瘤,也是全球癌症死亡的第二大原因。饮食已被公认为结直肠癌的重要可改变的危险因素。与此同时,超加工食品现在占美国成年人每日总卡路里消耗量的57%,这在过去二十年中一直在不断增加。这些食物通常富含添加糖、油脂和精制淀粉,不利地改变肠道微生物群的组成,并导致体重增加和肥胖的风险增加,肥胖是结直肠癌的既定危险因素。结直肠

  • 面对“男女有别”的癌症,不同性别如何针对性预防? | 内附男女癌症筛查推荐时间表

    面对“男女有别”的癌症,不同性别如何针对性预防? | 内附男女癌症筛查推荐时间表

    在医学界,有些疾病存在“男女有别”的客观现象,比如癌症,在女性和男性中就有着显著的差异。
    1.男性癌症的发病率和死亡率均高于女性
    根据世界卫生组织国际癌症研究机构(IARC)发布了2020年全球最新癌症负担数据,全球整体癌症发病率,男性要高于女性(全球男性新发癌症1007万例,占总数的52%;全球女性新发癌症923万例,占总数的48%

  • 胰岛素过来背锅!高胰岛素水平可使无T2DM人群的这种结直肠癌前病变风险增加3成!

    胰岛素过来背锅!高胰岛素水平可使无T2DM人群的这种结直肠癌前病变风险增加3成!

    根据2018年全球癌症发病率报告,结直肠癌分别是女性和男性中第二和第三大常见癌症(10.9%)。在各种类型的结肠息肉中,结肠腺瘤传统上被认为是癌症的前奏,已知没有恶性潜能的增生性息肉,最近被报道通过锯齿状肿瘤途径进展为恶性息肉。据报道,结肠息肉在2型糖尿病(T2DM)或代谢综合征患者中发病率较高。胰岛素抵抗是 T2DM 和代谢综合征发作的关键机制,它通过对内

  • 结直肠癌免疫治疗展望:MSI肿瘤之外

    结直肠癌免疫治疗展望:MSI肿瘤之外

    1. PD-1/PD-L1抑制剂联合其他药物治疗MSS mCRC
    瑞戈非尼(Regorafenib)是一种多酪氨酸激酶抑制剂,可以阻断包括CSF1R在内的许多途径,而抑制这些途径可能会减少免疫抑制肿瘤相关巨噬细胞向肿瘤微环境的招募。一项Ⅰ/Ⅰb期试验评估了纳武利尤单抗和瑞戈非尼在难治性pMMR mCRC中的联合应用,其中28例患者根据剂量递增设计接受纳武利尤

  • Science子刊:生物钟紊乱可直接加速结直肠癌进展!

    Science子刊:生物钟紊乱可直接加速结直肠癌进展!

    导读:据报道,年轻人患结直肠癌(CRC)的机率呈现惊人增长趋势;然而,其潜在的分子机制仍未定义。幼发性结直肠癌的疑似危险因素包括环境因素,如生活方式和饮食习惯,均会影响生物钟。在一项新的研究中,研究人员确定了生物钟如何影响细胞生长,代谢和肿瘤进展。他们的研究还揭示了生物钟的破坏如何影响基因组的稳定性和突变,从而进一步驱动肠道中的关键肿瘤发展。
    这项研究的标题