胆囊癌丨MRI表现(与胆囊壁水肿相鉴别)
原发性胆囊癌是继结肠癌、胰腺癌、胃癌、肝癌和食道癌之后的第六大最常见的胃肠道恶性肿瘤。
危险因素可能包括慢性沙门氏菌感染,橡胶、汽车、木材涂饰和金属制造行业所用化学药品的暴露,以及胆石症。
症状模糊不清,常与邻近器官的受侵有关。绝大多数胆囊癌是腺癌。大多数患者为进展期,预后较差。
影像学检查可显示肿块替代了正常的胆囊(65%),胆囊壁弥漫性或局灶性增厚(30%)或胆囊腔内息肉样肿块(25%)。高达90%的病例可见肝脏直接受累,其次是结肠、十二指肠和胰腺。


-
T2压脂(T2 fatsat):胆囊窝内胆囊癌病变较肝脏为高信号,病变顶部向肝内扩展;
-
T1同相位(T1 in-phase):胆囊癌病变较肝脏为低信号;
-
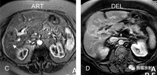
增强动脉期(ART):不均质强化;
-
延迟期(DEL):部分廓清,部分持续强化。



胆囊癌。A~D图:上方层面,表现如上所述,形成肿物侵及肝脏。E、F图:下方层面示胆囊壁不规则增厚,明显不均质强化。

另一例胆囊癌,T2WI及增强延迟期显示胆囊壁不均匀增厚并明显强化。




胆囊癌。病灶以胆囊为中心侵及肝脏,明显弥散受限,由于病灶内含结缔组织/纤维成分(T2低信号)导致肝被膜内陷,增强扫描动脉期明显不均质强化,延迟期中心纤维成分延迟强化。表现类似肝内胆管细胞癌。
鉴别诊断:
胆囊壁水肿
Gallbladder Wall Edema


胆囊壁增厚(并肝硬化、门脉高压、腹水)。T2WI显示胆囊壁因水肿而光滑均匀增厚,增强延迟期显示强化的胆囊壁(内外两层:粘膜层和浆膜层),薄而清晰光滑。
- 上一篇
降压药也能遏制胰腺癌? BMC Cancer 发文:这类药物可降低20%的死亡风险
胰腺癌是最具侵袭性的癌症之一,美国胰腺癌患者的5年生存率是11%,是名副其实的癌王。目前,手术切除仍然是显著延长胰腺癌患者生存期的唯一治疗选择,然而仅有 10-20% 的患者适合切除。在过去二十几年里,科学家们对胰腺癌及其不可切除患者的治疗方案进行了大量研究,总体生存率仅略有改善。 先前,众多临床前数据支持血管紧张素受体拮抗剂(ARB)和血管紧张素转化酶抑制
- 下一篇
这个简单易得的指标,竟可预测「癌王」患者的术后OS?!
胰腺切除术,如胰腺十二指肠切除术(PD)和远端胰腺切除术(DP),一直是恶性胰腺肿瘤的金标准手术方法。尽管在手术技能、能量装置和围手术期管理方面取得了进展,但PD和DP后与手术相关的死亡率可高达5%。在潜在的术后并发症 (POC) 中,最常见的是手术部位感染 (SSI)、胃排空延迟 (DGE) 和术后胰腺瘘 (POPF)。最近有证据表明,POPF与胰腺癌患者